See the Smiles Created by Our Unley Dentists

At Dentistry on Unley, we love seeing the confidence our patients feel after treatment. Our practitioners personalise dental care to your individual requirements, not only caring for your teeth and gums, but also caring about your general health and wellbeing. See our real patient results and what's possible for your smile.

Replacing old dentures with implant secured dentures

Before implant secured denture by Unley dentist After implant secured denture by Unley dentists

Ceramic Crowns

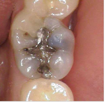
Before replacing amalgam by Unley dentists Tooth fillings (after) by Unley dentists
Before replacing almagam and restoring with tooth fillings with Unley dentists Tooth fillings by Unley dentists
Before replacing almagam and restoring with tooth fillings with Unley dentists Tooth fillings by Unley dentists

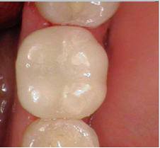
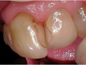
Removing decay and restoring with a tooth coloured restoration

Before treatment with Unley dentists After treatment with Unley dentists

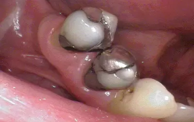
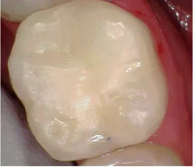
Replacing amalgam with a tooth coloured restoration

Before replacing amalgam at Unley dentists Tooth fillings (after) by Unley dentists
Before replacing almagam and restoring with tooth fillings with Unley dentists Tooth fillings by Unley dentists

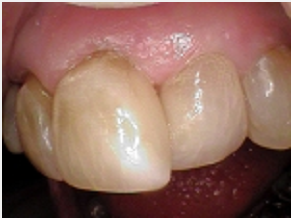
Resin Veneers

Before dental veneers with Unley dentists After dental veneers with Unley dentists
Before dental veneers with Unley dentists After dental veneers with Unley dentists

Zoom Whitening

Replacing old dentures with implant secured dentures by Unley dentists Replacing old dentures with implant secured dentures by Unley dentists

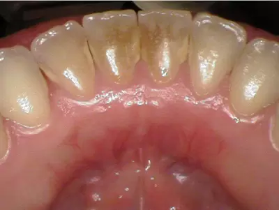
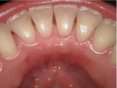
Hygiene Maintenance

Before dental cleaning by Unley dentists After dental cleaning at Dentistry on Unley
Before dental cleaning by Unley dentists After dental cleaning by Unley dentists